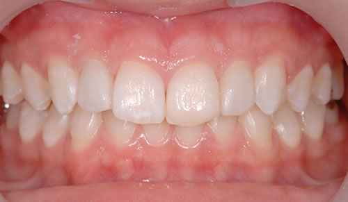
治療の結果は こんな感じです
BlogPaint

左右の2番目の歯が、ラミネートベニアです。
自然な感じの仕上がりです。

お口を閉じると
9983-02-01

治療後

ちなみに治療前はこんな感じでした

9983-01-01

治療前

9983-01-02

ホワイトニング後

ラミネートベニアによる治療は、歯を削る量が少ないのが、大きな利点です